23/07/2016
En la vasta y silenciosa aridez de los desiertos, bajo un sol implacable, reside un organismo microscópico cuya existencia nos recuerda la profunda e intrincada conexión entre la salud humana y el medio ambiente. No se trata de un animal ni de una planta, sino de un hongo llamado Coccidioides immitis, el causante de una enfermedad conocida popularmente como la Fiebre del Valle o coccidioidomicosis. Aunque para muchos es un término desconocido, para quienes habitan en regiones desérticas, representa un riesgo latente que emerge del propio suelo que pisan. Este no es solo un relato sobre una patología, sino una exploración de cómo los ecosistemas, el clima y nuestras propias actividades pueden desenterrar amenazas invisibles con consecuencias muy reales para nuestra salud.
¿Qué es Exactamente la Coccidioidomicosis?
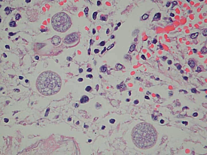
La coccidioidomicosis, también conocida como Fiebre del Valle de San Joaquín o simplemente Fiebre del Desierto, es una infección fúngica que se contrae al inhalar las esporas del hongo Coccidioides. Este hongo no es un parásito que necesite un huésped para vivir; es un habitante natural de los suelos alcalinos y secos de ciertas regiones del mundo, principalmente en el suroeste de Estados Unidos, el norte de México y algunas zonas de Centro y Sudamérica.
El ciclo de vida de este hongo está íntimamente ligado a las condiciones ambientales. Permanece latente en el suelo durante las épocas secas. Cuando llegan las lluvias, crece y desarrolla largas cadenas de filamentos que, al secarse nuevamente el terreno, se fragmentan en diminutas esporas llamadas artroconidios. Estas esporas son increíblemente ligeras y pueden ser levantadas por el viento o por cualquier actividad que perturbe el suelo, como la construcción, la agricultura, las excavaciones o incluso un terremoto. Una vez en el aire, pueden viajar kilómetros y, si son inhaladas por una persona o un animal, pueden establecer una infección en los pulmones.
Las Múltiples Caras de la Infección: De Asintomática a Crónica
Una de las características más desconcertantes de la coccidioidomicosis es su amplio espectro de manifestaciones. La reacción del cuerpo a la inhalación de las esporas puede variar drásticamente de una persona a otra.
La Mayoría Silenciosa: Infección Asintomática
Se estima que cerca del 60% de las personas que inhalan las esporas del Coccidioides nunca desarrollan síntomas. Su sistema inmunitario controla la infección eficazmente sin que la persona se dé cuenta. La única evidencia de la infección puede ser una prueba cutánea positiva años después, indicando una exposición previa.
La Forma Aguda: La "Fiebre del Valle"
En el 40% restante de los casos, los síntomas aparecen entre una y tres semanas después de la exposición. Esta es la forma aguda de la enfermedad, que a menudo se asemeja a una gripe o neumonía. Los síntomas comunes incluyen:
- Fiebre y escalofríos
- Tos seca o con flema
- Dolor en el pecho
- Dolor de cabeza y dolores musculares
- Fatiga extrema
- Erupciones cutáneas, como el eritema nudoso (protuberancias rojas y dolorosas, generalmente en las piernas) o el eritema multiforme.
En la mayoría de los casos, la coccidioidomicosis pulmonar aguda es leve y se resuelve por sí sola en semanas o meses sin necesidad de tratamiento.
La Complicación a Largo Plazo: Coccidioidomicosis Pulmonar Crónica
En un pequeño porcentaje de los casos, la infección pulmonar no se resuelve por completo y evoluciona hacia una forma crónica, que puede desarrollarse incluso 20 años o más después de la infección inicial. Esta forma se asemeja a la tuberculosis, con la formación de cavidades o nódulos en los pulmones. Los síntomas pueden incluir fiebre baja persistente, pérdida de peso, tos crónica y expectoración con sangre. En casos graves, estas cavidades (abscesos pulmonares) pueden romperse, liberando pus en el espacio pleural entre los pulmones y la pared torácica, una condición grave llamada empiema.
La Forma Más Grave: La Enfermedad Diseminada
La forma más peligrosa, aunque rara, es la coccidioidomicosis diseminada. Ocurre cuando la infección no se contiene en los pulmones y se propaga a través del torrente sanguíneo a otras partes del cuerpo. Puede afectar a la piel, los huesos, las articulaciones, el hígado y, lo más crítico, al cerebro y las meninges (las membranas que lo cubren), causando meningitis fúngica. Esta forma es mucho más común en personas con un sistema inmunitario debilitado, como pacientes con SIDA, receptores de trasplantes, o aquellos en tratamiento con quimioterapia o esteroides. Sin un tratamiento agresivo, la enfermedad diseminada puede ser fatal.
Tabla Comparativa de las Formas de Coccidioidomicosis
| Característica | Forma Aguda | Forma Crónica | Forma Diseminada |
|---|---|---|---|
| Inicio | 1-3 semanas tras la exposición | Meses o años después | Semanas o meses después |
| Síntomas Principales | Fiebre, tos, fatiga, erupciones | Tos crónica, pérdida de peso, cavidades pulmonares | Afectación de piel, huesos, meninges |
| Gravedad | Generalmente leve y autolimitada | Moderada a grave, persistente | Muy grave, potencialmente mortal |
| Población de Riesgo | Cualquier persona en zona endémica | Personas con enfermedad pulmonar preexistente | Personas inmunocomprometidas |
El Impacto del Cambio Climático y la Actividad Humana
La coccidioidomicosis es un ejemplo claro de cómo los cambios en el medio ambiente pueden impactar directamente en la salud pública. El cambio climático está alterando los patrones de lluvia y temperatura, lo que podría expandir las áreas geográficas donde el hongo Coccidioides puede prosperar. Períodos de sequía más intensos seguidos de lluvias torrenciales crean las condiciones ideales para el crecimiento del hongo y la posterior liberación masiva de esporas. Además, el aumento de la urbanización y la construcción en zonas desérticas remueve toneladas de suelo, liberando esporas en el aire y exponiendo a nuevas poblaciones al riesgo de infección.
Diagnóstico y Tratamiento
El diagnóstico puede ser un desafío, ya que los síntomas iniciales se confunden fácilmente con otras enfermedades respiratorias más comunes. Generalmente se confirma mediante análisis de sangre que detectan anticuerpos contra el hongo, cultivos de esputo o tejido, o pruebas de imagen como radiografías de tórax.
El tratamiento depende de la gravedad y el tipo de infección. Muchos casos agudos leves no requieren medicación. Sin embargo, para las formas graves, crónicas o diseminadas, es necesario un tratamiento con medicamentos antifúngicos. Las opciones incluyen fármacos como el fluconazol o el posaconazol (administrados por vía oral) y, en los casos más críticos, la anfotericina B, que se administra por vía intravenosa y es un tratamiento muy potente pero con efectos secundarios significativos.
Preguntas Frecuentes (FAQ)
¿La coccidioidomicosis es contagiosa de persona a persona?
No. La enfermedad no se puede transmitir de una persona a otra, ni de un animal a una persona. La única forma de contraerla es inhalando las esporas directamente del ambiente.
¿Pueden los animales contraer la Fiebre del Valle?
Sí, muchos mamíferos son susceptibles, especialmente los perros, que al olfatear el suelo tienen una alta probabilidad de inhalar esporas. En ellos, la enfermedad puede ser igualmente grave.
¿Si me recupero, quedo inmunizado?
En la gran mayoría de los casos, superar una infección por Coccidioides confiere inmunidad de por vida. Sin embargo, en personas cuyo sistema inmunitario se debilita gravemente más adelante, es posible una reactivación de la infección o, en casos muy raros, una reinfección.
¿Cómo puedo protegerme si vivo o viajo a una zona de riesgo?
La prevención se centra en reducir la exposición al polvo. Se recomienda evitar actividades que levanten grandes cantidades de polvo, permanecer en interiores durante tormentas de polvo con las ventanas cerradas, usar sistemas de filtración de aire de alta eficiencia (HEPA) en casa y considerar el uso de mascarillas N95 al realizar trabajos de jardinería, construcción o excavación en zonas endémicas.
La Fiebre del Valle es más que una simple infección; es un indicador ecológico que nos enseña sobre la fragilidad del equilibrio entre nuestro entorno y nuestra salud. Comprenderla es dar un paso hacia una coexistencia más consciente y respetuosa con los ecosistemas que nos rodean.
Si quieres conocer otros artículos parecidos a Fiebre del Valle: El Hongo Oculto del Desierto puedes visitar la categoría Ecología.
