02/07/1999
En nuestro planeta, la tierra que pisamos y los materiales que moldeamos para construir nuestro mundo están compuestos por elementos naturales que han existido por milenios. Uno de los más abundantes es el sílice, un cristal que forma la base de rocas, arena y suelo. Sin embargo, esta sustancia tan común encierra una paradoja mortal: cuando se fractura en partículas microscópicas y se inhala, se convierte en un agente letal que ataca silenciosamente los pulmones, provocando una enfermedad incurable conocida como silicosis. Este padecimiento, fundamentalmente una cicatrización progresiva del tejido pulmonar, representa uno de los mayores riesgos para la salud en numerosos sectores industriales, convirtiendo el entorno laboral en un campo de batalla invisible contra un polvo omnipresente.

¿Qué es el Sílice y Dónde se Esconde el Riesgo?
El dióxido de silicio (SiO₂), comúnmente conocido como sílice, es el segundo mineral más común en la corteza terrestre. Lo encontramos en su forma cristalina en materiales como el cuarzo, el granito y la arenisca. El peligro no reside en la roca o la arena intacta que vemos en la naturaleza, sino en el polvo fino que se genera al cortar, perforar, triturar o pulir estos materiales. Este polvo, conocido como sílice cristalina respirable, es tan pequeño que puede penetrar profundamente en las vías respiratorias, eludiendo los mecanismos de defensa naturales del cuerpo y alojándose en los alvéolos pulmonares, donde comienza su destructiva labor.
Las industrias donde este riesgo ambiental es más pronunciado son variadas y esenciales para nuestra sociedad moderna. Entre ellas se encuentran:
- Minería y explotación de canteras: Extracción de carbón, minerales metálicos y rocas.
- Construcción: Corte de hormigón y ladrillos, demoliciones, construcción de túneles y carreteras.
- Fabricación de vidrio y cerámica: El sílice es una materia prima fundamental.
- Chorreado de arena (Sandblasting): Limpieza de superficies con arena a alta presión.
- Industria metalúrgica: Fundiciones que utilizan moldes de arena.
- Corte de piedra: Especialmente en la fabricación de encimeras de cuarzo y otros materiales de construcción.
El Mecanismo Silencioso: ¿Cómo Ataca el Polvo de Sílice a los Pulmones?
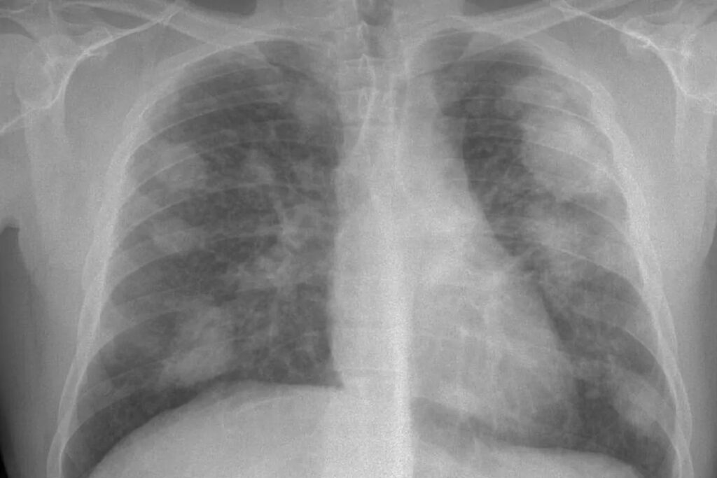
Una vez que las partículas de sílice respirable llegan a los alvéolos, el sistema inmunitario del cuerpo reacciona de inmediato. Los macrófagos alveolares, células encargadas de "limpiar" los pulmones de partículas extrañas, intentan engullir y eliminar el sílice. Sin embargo, la toxicidad de estos cristales hace que los macrófagos mueran y liberen enzimas y mediadores inflamatorios. Este proceso desencadena una respuesta inflamatoria crónica. El cuerpo, en su intento de reparar el daño constante, inicia un proceso de cicatrización descontrolado. Este fenómeno, conocido como fibrosis, provoca que el tejido pulmonar elástico y funcional sea reemplazado por tejido cicatricial rígido.
Con el tiempo, esta reacción inflamatoria y fibrótica conduce a la formación de los llamados nódulos silicóticos, pequeñas masas de tejido cicatricial que son el sello distintivo de la enfermedad. A medida que estos nódulos crecen y se fusionan, la capacidad de los pulmones para expandirse y transferir oxígeno a la sangre se ve gravemente comprometida, llevando a una dificultad respiratoria progresiva y, finalmente, a la insuficiencia respiratoria.
Los Múltiples Rostros de la Silicosis
La silicosis no es una enfermedad única; se manifiesta de diferentes formas dependiendo de la intensidad y la duración de la exposición al polvo de sílice. Comprender sus tipos es clave para evaluar el riesgo y la gravedad del padecimiento.
| Tipo de Silicosis | Tiempo de Exposición | Nivel de Exposición | Características y Progresión |
|---|---|---|---|
| Silicosis Crónica | Más de 20 años | Bajo a moderado | Es la forma más común. Progresa lentamente y los síntomas, como la falta de aire, pueden no aparecer hasta décadas después. Puede ser "simple" (nódulos pequeños y separados) o "complicada" (nódulos que se unen formando grandes masas fibróticas). |
| Silicosis Acelerada | 3 a 10 años | Alto | Los síntomas aparecen mucho más rápido que en la forma crónica debido a una exposición más intensa. La inflamación y la fibrosis progresan a un ritmo más veloz. |
| Silicosis Aguda | Meses a 2 años | Extremadamente alto | Es la forma más rara y grave. Los pulmones se inflaman intensamente y se llenan de un líquido rico en proteínas, causando una dificultad respiratoria severa, fiebre y pérdida de peso. Puede ser fatal en poco tiempo. |
Prevención: La Única Cura Verdadera
Dado que la silicosis es una enfermedad irreversible y sin cura, la prevención es la herramienta más poderosa y fundamental para proteger la salud de los trabajadores. La responsabilidad recae tanto en los empleadores, que deben garantizar un entorno de trabajo seguro, como en los empleados, que deben seguir rigurosamente los protocolos de seguridad. Las estrategias de prevención se centran en minimizar la inhalación de polvo de sílice.

Gracias a regulaciones estrictas, como las establecidas por la OSHA (Administración de Seguridad y Salud Ocupacional), la incidencia de la silicosis ha disminuido en muchos países, pero el riesgo sigue siendo muy real. Las medidas clave incluyen:
- Controles de ingeniería: Son la primera línea de defensa. Incluyen métodos para suprimir el polvo en su origen, como la perforación o el corte en húmedo (usando agua para asentar el polvo) y la instalación de sistemas de ventilación por extracción local que capturan el polvo antes de que llegue a la zona de respiración del trabajador.
- Aislamiento del proceso: Encerrar las operaciones que generan grandes cantidades de polvo en cabinas o áreas aisladas para limitar el número de trabajadores expuestos.
- Equipo de Protección Personal (EPP): Cuando los controles de ingeniería no son suficientes, es obligatorio el uso de respiradores adecuados. Estos deben ser seleccionados según el nivel de exposición y ajustarse correctamente para sellar la cara del usuario. La capacitación sobre su uso y mantenimiento es crucial.
- Higiene personal y del lugar de trabajo: Fomentar prácticas como lavarse las manos y la cara antes de comer o beber, no fumar en áreas de trabajo, y cambiarse de ropa de trabajo antes de volver a casa para evitar la contaminación cruzada y proteger a las familias.
- Monitoreo y vigilancia de la salud: Realizar mediciones periódicas de la calidad del aire para asegurar que los niveles de sílice se mantengan por debajo de los límites permitidos y ofrecer programas de vigilancia médica a los trabajadores expuestos, incluyendo radiografías de tórax y pruebas de función pulmonar.
Preguntas Frecuentes (FAQ) sobre la Silicosis
¿La silicosis tiene cura?
No. Actualmente no existe una cura para la silicosis. El daño pulmonar es permanente e irreversible. El tratamiento se enfoca en aliviar los síntomas, ralentizar la progresión de la enfermedad, prevenir complicaciones (como infecciones) y mejorar la calidad de vida del paciente. Esto puede incluir broncodilatadores, oxigenoterapia y, en casos muy avanzados, un trasplante de pulmón.
¿Caminar por la playa o vivir en una zona arenosa puede causar silicosis?
No. El riesgo de silicosis proviene de la inhalación de sílice cristalina en forma de polvo muy fino, generado por procesos industriales que fracturan la roca o la arena. La arena natural de una playa o un desierto no suele estar en una forma respirable y peligrosa, por lo que las actividades recreativas en estos entornos no suponen un riesgo.
¿Qué otras enfermedades están asociadas con la exposición al sílice?
La exposición al sílice no solo causa silicosis. También aumenta significativamente el riesgo de desarrollar otras enfermedades graves, como tuberculosis (las personas con silicosis son mucho más susceptibles), cáncer de pulmón, enfermedad pulmonar obstructiva crónica (EPOC), y enfermedades autoinmunes como el lupus o la artritis reumatoide.
En conclusión, la silicosis es mucho más que una enfermedad laboral; es el resultado de un desequilibrio en nuestra interacción con el medio ambiente, donde un componente natural de la tierra se convierte en una amenaza por la forma en que lo manipulamos. La conciencia, la regulación y la aplicación estricta de medidas de seguridad son los pilares para erradicar esta enfermedad prevenible y garantizar que quienes construyen nuestro mundo no tengan que sacrificar su salud en el proceso.
Si quieres conocer otros artículos parecidos a Silicosis: El Peligro Oculto en el Polvo de la Tierra puedes visitar la categoría Ecología.
