01/09/2015
Cuidar nuestra boca es un pilar fundamental de la salud general, un hábito que nos inculcan desde la infancia para prevenir caries y mantener un aliento fresco. Sin embargo, en un mundo cada vez más consciente de su impacto ambiental, la pregunta sobre la importancia de una estricta higiene bucal adquiere una nueva dimensión. Ya no se trata solo de la salud personal, sino también de la salud del planeta. ¿Alguna vez te has detenido a pensar en la huella ecológica que deja tu rutina de cepillado diaria? Este artículo explora las dos caras de la moneda: la importancia vital de la higiene oral para nuestro bienestar y cómo podemos alinear esta práctica esencial con un estilo de vida más respetuoso con el medio ambiente.

Más Allá de la Caries: El Vínculo Inquebrantable entre Salud Bucal y General
Antes de adentrarnos en la perspectiva ecológica, es crucial reafirmar por qué una higiene bucal rigurosa es innegociable para nuestra salud. La boca es la principal puerta de entrada a nuestro cuerpo y un ecosistema complejo donde habitan millones de bacterias, tanto beneficiosas como perjudiciales.
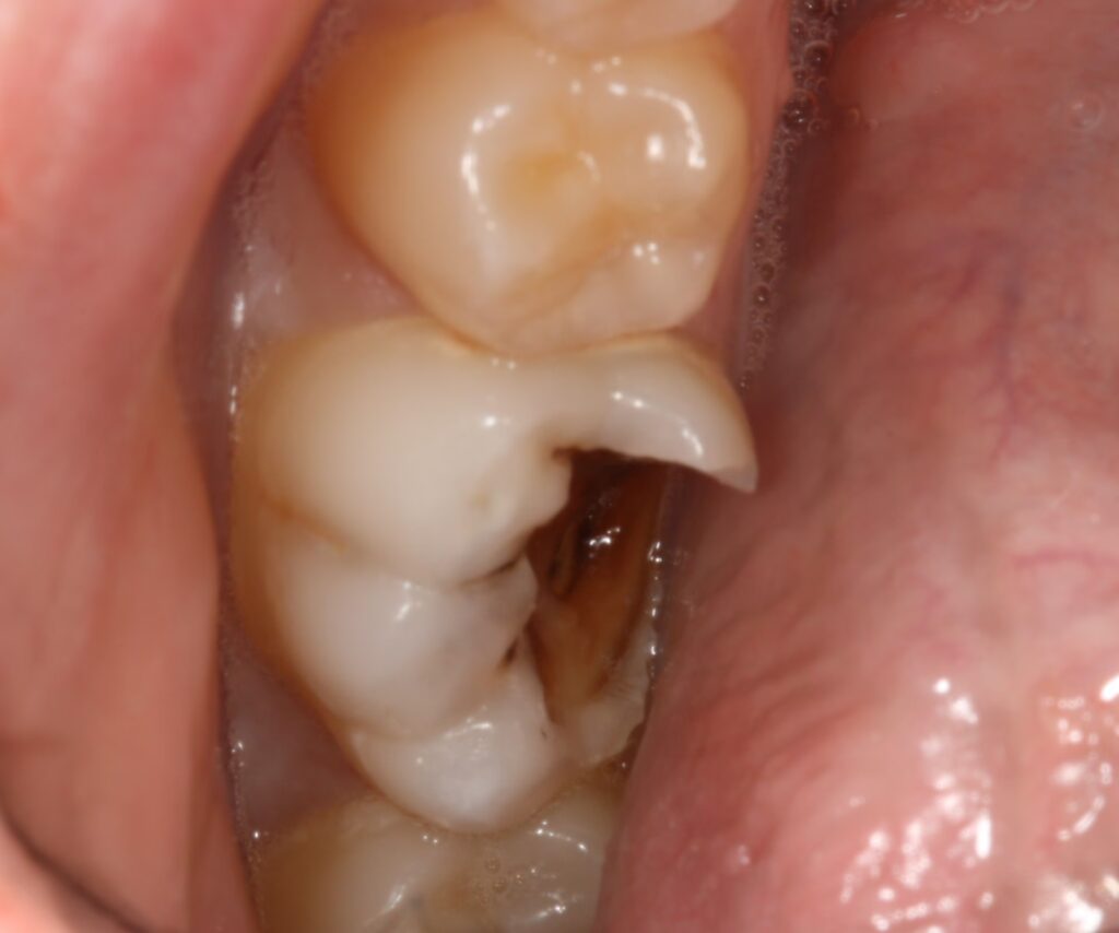
Cuando descuidamos la limpieza, las bacterias dañinas proliferan, formando una película pegajosa llamada placa dental. Esta placa es la principal culpable de dos de los problemas dentales más comunes:
- Caries dental: Las bacterias de la placa consumen los azúcares de los alimentos y producen ácidos que atacan y desmineralizan el esmalte dental, creando cavidades o caries.
- Enfermedades de las encías: Si la placa no se elimina, se endurece y se convierte en sarro. La acumulación de placa y sarro irrita las encías, provocando gingivitis (inflamación, enrojecimiento y sangrado). Si no se trata, puede evolucionar a periodontitis, una infección grave que daña el tejido blando y destruye el hueso que sostiene los dientes, pudiendo llevar a su pérdida.
Pero el impacto no se detiene en la boca. La ciencia ha demostrado una y otra vez que la salud oral está intrínsecamente conectada con la salud sistémica. La inflamación crónica causada por la enfermedad periodontal puede permitir que las bacterias entren en el torrente sanguíneo, afectando a otras partes del cuerpo. Se ha establecido una correlación entre una mala salud bucal y un mayor riesgo de:
- Enfermedades cardiovasculares: La inflamación y las infecciones orales pueden contribuir a la aterosclerosis (endurecimiento de las arterias), infartos y accidentes cerebrovasculares.
- Diabetes: La relación es bidireccional. La enfermedad periodontal puede dificultar el control del azúcar en sangre, y las personas con diabetes son más susceptibles a las infecciones, incluidas las de las encías.
- Complicaciones en el embarazo: La periodontitis se ha asociado con partos prematuros y bajo peso al nacer.
- Neumonía: Las bacterias de la boca pueden ser inhaladas hacia los pulmones, causando infecciones respiratorias.
Mantener una estricta higiene bucal, por tanto, no es una cuestión de vanidad, sino un acto fundamental de autocuidado con repercusiones en todo nuestro organismo.
El Coste Ambiental Oculto en tu Rutina de Limpieza
Ahora, miremos esa misma rutina a través de una lente ecológica. Cada producto que usamos, desde el cepillo hasta el enjuague, tiene un ciclo de vida con un impacto ambiental significativo. La higiene bucal tradicional es una fuente considerable de residuos y contaminación.
La Montaña de Plástico
Piensa en los productos básicos: cepillos de dientes, tubos de pasta dental, envases de hilo dental y botellas de enjuague bucal. La gran mayoría están hechos de plástico derivado del petróleo, un material que tarda cientos de años en descomponerse. Se estima que miles de millones de cepillos de dientes de plástico son desechados cada año en todo el mundo, terminando en vertederos o, peor aún, en nuestros océanos, donde se fragmentan en microplásticos que dañan la vida marina y entran en la cadena alimentaria.
Cócteles Químicos por el Desagüe
Muchas pastas dentales y enjuagues bucales convencionales contienen ingredientes que pueden ser perjudiciales para los ecosistemas acuáticos una vez que los escupimos por el desagüe. Sustancias como el triclosán (un agente antibacteriano), los lauril sulfatos de sodio (SLS, para crear espuma) y ciertos colorantes y conservantes pueden alterar la vida acuática y contribuir a la contaminación del agua.
El Desperdicio de Agua
Un gesto tan simple como dejar el grifo abierto mientras nos cepillamos los dientes durante dos minutos puede desperdiciar más de 10 litros de agua. Multiplica eso por dos o tres veces al día, por cada persona en un hogar, y la cifra se vuelve alarmante. Es un desperdicio de un recurso vital que es innecesario y fácilmente evitable.
Hacia una Sonrisa Sostenible: Alternativas Eco-Amigables
La buena noticia es que no tenemos que elegir entre una boca sana y un planeta sano. La creciente conciencia sobre la sostenibilidad ha impulsado la innovación, ofreciéndonos una amplia gama de alternativas eficaces y respetuosas con el medio ambiente. Aquí tienes una tabla comparativa para guiar tu transición:
| Producto Tradicional | Alternativa Sostenible | Beneficio Ambiental |
|---|---|---|
| Cepillo de dientes de plástico | Cepillo de bambú o con cabezales reemplazables | El bambú es un recurso renovable y biodegradable. Los cabezales reemplazables reducen drásticamente el residuo plástico. |
| Pasta dental en tubo de plástico | Pasta dental en tabletas, en polvo o en frasco de vidrio | Elimina el tubo de plástico no reciclable. Los envases suelen ser de vidrio, metal o cartón, fácilmente reciclables o reutilizables. |
| Hilo dental de nylon en dispensador de plástico | Hilo dental de seda, PLA (bioplástico de maíz) en envase de vidrio recargable | El hilo es compostable y el envase es reutilizable, eliminando el residuo plástico por completo. |
| Enjuague bucal en botella de plástico | Enjuague bucal en tabletas (para disolver en agua) o en botella de vidrio | Reduce el transporte de agua, disminuyendo la huella de carbono. Elimina o reduce el uso de envases plásticos de un solo uso. |
Preguntas Frecuentes (FAQ)
¿Son las alternativas ecológicas igual de efectivas que las tradicionales?
Absolutamente. La efectividad de la higiene bucal reside en la técnica y la constancia, no necesariamente en el material del producto. Un cepillo de bambú con cerdas de calidad limpia los dientes igual de bien que uno de plástico. Las pastas en tabletas contienen los mismos ingredientes activos clave (como el flúor, si se elige esa opción) para proteger contra las caries. Lo importante es mantener una rutina de cepillado de dos minutos, dos veces al día, y usar hilo dental diariamente.
¿Es más caro adoptar una rutina de higiene bucal sostenible?
Inicialmente, algunos productos pueden tener un coste ligeramente superior. Sin embargo, a largo plazo, muchas opciones resultan más económicas. Por ejemplo, comprar recargas para un dispensador de hilo dental de vidrio es más barato que comprar constantemente nuevos dispensadores de plástico. Además, al invertir en estos productos, también estás invirtiendo en la salud del planeta, un valor que no tiene precio.
¿Qué debo buscar en los ingredientes de una pasta dental natural?
Busca ingredientes simples y reconocibles. El carbonato de calcio, el bicarbonato de sodio o la arcilla de caolín son abrasivos suaves que ayudan a limpiar. Aceites esenciales como el de menta o árbol de té aportan propiedades antibacterianas y sabor. Si te preocupa la prevención de caries, asegúrate de que la fórmula contenga flúor o busca alternativas como la hidroxiapatita, un mineral que compone nuestro esmalte.
En conclusión, mantener una estricta higiene bucal es una de las mejores inversiones que puedes hacer en tu salud y bienestar general. Pero este acto de cuidado personal no tiene por qué estar reñido con el cuidado del medio ambiente. Al tomar decisiones conscientes sobre los productos que utilizamos, podemos transformar nuestra rutina diaria en una poderosa declaración de intenciones. Una sonrisa sana es maravillosa, pero una sonrisa que también contribuye a un planeta más sano es verdaderamente radiante.
Si quieres conocer otros artículos parecidos a Higiene Bucal: Sonrisa Sana, Planeta Sano puedes visitar la categoría Sostenibilidad.
